Surgical Oncology

/Departments / Surgical Oncology

Surgical Oncology

Surgical oncology department was started in 2015 with the appointment of Dr. K. Saravana raja manickam , a TATA memorial hospital oncology graduate and a dedicated cancer surgeon and a VATS [ video assisted thoracoscopic surgery ] specialist to our team.

The application was then made to TNHSP Director in Chennai in march 2015 to recognize and permit the surgical oncology and medical oncology for KMC under the CMCHISTN scheme and we were awarded the needed permission to operate and treat cancer patients under the scheme.

Many patients with suspicious symptoms and signs were screened by the team comprising Pathologists , Gynaecologists , general and cancer surgeon and many cancer surgeries have been successfully done in conventional approach and laparoscopic approach followed by chemotherapy and radiotherapy in indicated cases.

With a combined team effort of Gynecologist and Oncologist , breast and gynae malignancies were diagnosed in early stages and needed treatment given.

In KMC we stress on giving early diagnosis information in pamphlets to the general public regarding the early signs of cancer as we are aware that complete cure is possible in early stages.

We have done camps to encourage people to come for early diagnosis and consultation and many cancers detected from camps have been successfully treated on the hospital campus.

We also refer patients requiring radiotherapy after diagnosis of related cancers to our tie-up institutions in Salem and Namakkal.

We pledge to carry the cancer motto of "I am and I will" and do the needful best for the patients diagnosed with cancer.

Eva Colposcopy (Cervix Screening)

 

Cervical Smear Screening

புற்றுநோய் என்றால் என்ன?

புற்றுநோய் என்பது உடல் செல்களில் ஏற்படும் நோயாகும். உடலானது பலகோடி செல்களினால் உருவாக்கப்பட்டது ஆகும், சாதாரண செல்கள்வளரும் அதன்பின் பிரியும் (இரண்டாக பிளவுபடும்) அவை இருக்கும்போது புதிய செல்கள் உருவாக்கி அவற்றை ஈடு செய்யும். சில சமயங்களில் சில செல்களில் தவறு ஏதாவது ஏற்பட்டு அவை இறப்பதில்லை அவை கட்டுப்பாடின்றி பிரிந்து ஒரு கட்டியாக (கழலை) வளர ஆரம்பிக்கலாம் அதுதான் புற்றுநோய் என்று அழைக்கப்படுகிறது.

COMMON SYMPTOMS (பொதுவான அறிகுறிகள் )

கட்டிகள், அழற்சி அல்லது ஆறாத புண்கள், மார்பக கட்டிகள், கழுத்து கட்டிகள்.

நீடித்த பசியின்ன்மை, எடைகுறைவு, இரத்தசோகை.

பெண்களுக்கு மார்பகத்தில் உருவாகும் கட்டிகள்,(Breast Lumps), அசாதரணமாக நிகழும் உதிரப்போக்கு,( Abnormal Uterine Bleeding ).

குடல் கழிவில் (மலம்) இரத்தம், சிறுநீரில் இரத்தம் கலந்து வருதல்.

வடிவம், அளவு அல்லது நிறம் மாறிய மச்சங்கள் அல்லது இரத்தம் வடியும் மச்சங்கள்.

புற்றுநோய் அறிகுறிகள்

கழுத்து பகுதி புற்றுநோய்

கழுத்து பகுதியில் தைராய்டு உறுப்பிலிருந்து புற்று நோய் கட்டி உருவாகலாம் - THYROID CANCER .

வேறு பகுதியிலிருந்து கழுத்திற்கு பரவி புற்றுநோய் கட்டிகள் தென்படலாம் - METASTASIS NECK .

எச்சில் உற்பத்தியாகும் சுரப்பிகளில் இருந்து புற்றுநோய் கட்டிகள் உருவாக்கலாம் - SALIVARY GLAND TUMORS.

தைராய்டு கழுத்துக்கட்டி

காதுக்கு கீழ் உமிழ் நீர் சுரப்பியில் உருவாகும் கட்டிகள்

வாய், தொண்டை பகுதி புற்றுநோய்

வாயின் உள்பகுதியில் உருவாகும் ஆறாத புண்கள், குரல் மாற்றம், மூச்சுத்திணறல், உணவு விழுங்குவதில் சிரமம் ஆகிய அறிகுறிகள் மருத்துவ மற்றும் எண்டோஸ்கோபி பரிசோதனைக்கு உட்பட வேண்டியவை.

நாக்கில் மற்றும் தொண்டையில் உருவாகும் புற்றுநோய்

மார்பக பகுதி புற்றுநோய்

மார்பக புற்றுநோய் அறிகுறிகள்

மார்பில் உணரப்படும் கட்டிகள் அல்லது தோலின் அடியில் தெரியும் கட்டி போன்ற பகுதிகள் (LUMP IN BREAST ).

காம்பில் நீர் வடிதல்,வடிவம் மாறுதல், காம்பை சுற்றி புண் ஏற்படுதல் (NIPPLE DISCHARGE , NIPPLE INVERSION , PAGETS DISEASE )

பரிசோதனை முறைகள்

மருத்துவர் பரிசோதனை, சுயபரிசோதனை.

கட்டி அணுக்கள் ( FNAC , TRU -CUT BIOPSY )பரிசோதனை .

ஸ்கேன், மேமோகிராம் பரிசோதனை.

குறிப்பு : மார்பக கட்டியினை மக்கள் தாமாகவே கண்டறிந்து மருத்துவரை அணுகுவது புற்றுநோயை ஆரம்ப நிலையில் கண்டறிய உதவும்.

தோல் புற்றுநோய்

தோலில் புதிதாய் உருவாகிய மருக்கள்,வடிவம் மாறிய மச்சங்கள் முதலியவை பரிசோதனைக்கு உட்பட வேண்டியவை.

60 வயது பெண்மணிக்கு இடது கண் அருகில் புதியதாய் உருவாகிய மரு திசு பரிசோதனையில் புற்றுநோய் என உறுதி செய்யப்பட்டு அறுவை சிகிச்சை மூலம் அகற்றப்பட்டது. திசு பரிசோதனை அறிக்கை Basal Cell Carcinoma - Lateral Canthus of Left Eye .

60 வயது பெரியவருக்கு வலது காலில் மச்சம் போன்று உருவாகியிருக்கும் புற்றுநோய் (Malignant Melanoma )

இரைப்பை, உணவுக்குழாய் பகுதி புற்றுநோய்

உணவு விழுங்குவதில் சிரமம், அஜீரணம், வயிற்றுவலி, பசியின்மை, எடை குறைவு, இரத்த சோகை, வாந்தி இவை அனைத்தும் புற்றுநோய் அறிகுறிகளாக இருக்கலாம்.

பரிசோதனை முறைகள்

எண்டோஸ்கோபி, CT /USG ஸ்கேன்

குறிப்பு : பெரும்பாலான இரைப்பை புற்றுநோய்கள் "அல்சர்" என எடுத்துக்கொள்ளப்பட்டு பரிசோதனை தாமதிக்கப் படுகிறது, புற்றுநோய் மேலும் பரவுவதற்கு அவை காரணமாகிறது.

பெருங்குடல் புற்றுநோய்

மலம் கழிப்பதில் சிரமம், இரத்த கசிவு, அடிக்கடி மலம் கழித்தல் (TENESMUS ) இரத்தசோகை ஆகியவை கோலனொஸ்கோபி பரிசோதனைக்கு உட்பட வேண்டியவை.

குறிப்பு : குடல் புற்றுநோய் அறிகுறிகள் "மூலம்" என எடுத்துக்கொள்ளப்பட்டு அலட்சியப்படுத்தப் படுகிறது.

நுரையீரல் புற்றுநோய்

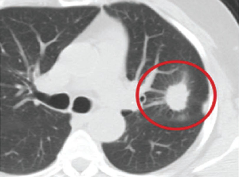
நுரையீரல் புற்றுநோய் எந்த வித அறிகுறிகள் இல்லாமல் உருவக கூடும், ஆகவே அறிகுறிகள் தென்படும் முன்பே CT - கெஸ்ட் (நுரையீரல்) பரிசோதனை தேவை.

CT பரிசோதனையில் நுரையீரல் புற்றுநோய் கண்டுபிடிக்கப்பட்டுள்ளது.

யார் யாருக்கு?

புகைப்பழக்கம் 30 கட்டுகள் வருடம் (ஒரு நாளைக்கு ஒரு கட்டு).

15 வருடங்களுக்கு முன் புகைப்பழக்கம் நிறுத்திக் கொண்டவர்களுக்கு.

55 - 77 வயது உள்ளவர்களுக்கு.

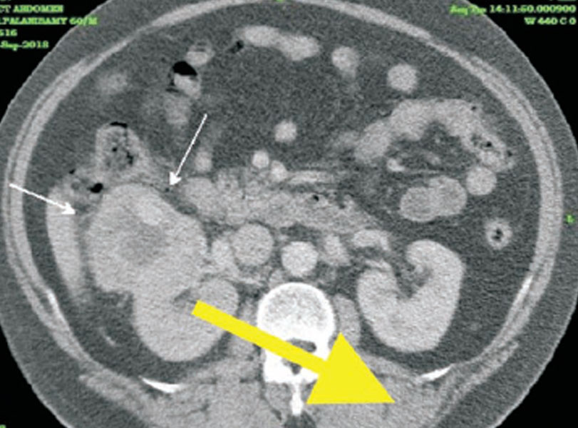
சிறுநீரக புற்றுநோய்

ஆண்களுக்கு சிறுநீரில் வழியில்லாமல் இரத்தம் கலந்து வருதல் புற்றுநோயிற்கான அறிகுறிகளாக இருக்கலாம் .

65 வயது ஆணுக்கு கிட் ஸ்கேன் பரிசோதனையில் வலது சிறுநீரகத்தில் புற்றுநோய் கட்டி கண்டறியப்பட்டு லேப்ரோஸ்கோபி சிகிச்சை மூலம் அகற்றப்பட்டது. திசு பரிசோதனை அறிக்கை Multifocal Clear Cell Carcinoma .

பெண்களுக்கு கருப்பை (UTERUS ) கருப்பை வாய் (CERVIX ) புற்றுநோய்

புற்றுநோய் அறிகுறிகள்

மாதவிடாய் காலம் தவிர இடைப்பட்ட நாட்களில் வெள்ளை அல்லது தூரம் படுதல் (Inter Menstrual Bleeding ).

உடலுறவிற்கு பிறகு தூரம் படுதல் (Post Coital Bleed ).

பெரியவர்களுக்கு மாதவிடாய்காலம் முடிந்து சில மாதங்கள் அல்லது வருடங்கள் கழித்து வெள்ளை/தூரம் படுதல் (Post Menopausal Bleeding /White Discharge).

மாதவிடாய் காலம் நீண்ட நாட்கள் தொடர்ந்து படுதல் (Prolonged Menstrual Bleeding).

Dr. சந்திரன் M.B.B.S.,DCH.,FCCP., Dr. சுசிலா சந்திரன் M.B.B.S.,DGO., தலைமை மருத்துவர்கள்

Dr. சரவண ராஜமாணிக்கம் M.B.B.S.,MCH., புற்றுநோய் அறுவைசிகிச்சை நிபுணர்

Dr. பிரவின் சந்திரன் M.S.,FIAGES.,FALS., பொது மற்றும் லேப்ரோஸ்கோபி அறுவை சிகிச்சை நிபுணர்

Dr. பிரியா பிரவின் M.B.B.S.,MD.,M.S(OG)., நோய் குறியியல் மகளிர் மகப்பேறு சிறப்பு மருத்துவர்

"புற்று நோயின் ஆரம்பநிலையை கண்டறிவோம், நலம் பெறுவோம் "
"புற்றுநோய் அறிகுறிகளை அறிவோம் "

முன்னுரை

பெண்களின் நலன் சமுகத்தின் அவசியம், அப்படி இருக்கும் முக்கிய பொறுப்பில் உள்ள பெண்களுக்கு பொதுவாக ஏற்படும் மூன்று முக்கிய புற்றுநோய் பற்றிய விளக்கத் தொகுப்பு.

பெண்களுக்கு ஏற்படும் மூன்று முக்கிய புற்றுநோய் பற்றிய விளக்க தொகுப்பு

Awareness Pamphlet on Three Common Cancer Diseases (Breast, Uterine Cervix, Ovary) Among Women

மார்பக புற்றுநோய் (மார்பக கட்டிகள்) - BREAST CANCER ( அஜிரணம் )

கருப்பை மற்றும் கருப்பை வாய் புற்றுநோய் - UTERINE & CANCER CERVIX

சினைப்பையில் உருவாகும் புற்றுநோய் - CANCER OVARY

மார்பக புற்றுநோய் (மார்பக கட்டிகள்) - BREAST CANCER

பொதுவாக மார்பக கட்டிகளில் 80% சாதரண கட்டிகள் ஆகும், 20 % களில் மட்டுமே புற்றுநோய் கட்டிகள் ஆகும்.

மார்பக புற்றுநோய் அறிகுறிகள்

மார்பில் உணரப்படும் கட்டிகள் (LUMP IN BREAST ).

மார்பின் அளவு மற்றும் வடிவம் சில காலங்களில் மாறுதல்.

மார்பின் தோலில் சுருக்கம் ஏற்படுதல் (உள்ளே இருக்கும் கட்டி காரணமாக).

காம்பில் நீர் வடிதல், காம்பின் வடிவம் மாறுதல், காம்பை சுற்றி புண் ஏற்படுதல் (NIPPLE DISCHARGE, NIPPLE INVERSION, PAGET'S DISEASE).

அக்குள்களில் (ARMPIT ) கட்டி உண்டாகுதல் .

பரிசோதனை முறைகள்
சுயபரிசோதனை - Breast Self Examination
சுயமாக எவ்வாறு பரிசோதனை செய்வது?

இடது கையை தலைக்குமேல் உயர்த்தி வலது கையால் இடது மார்பகத்தை தொட்டுப்பார்க்கவும், வீக்கமோ, வலியோ உள்ளதா என பரிசோதிக்கவும்.

மார்பக காம்புகள் வழக்கம்போல் உள்ளதா என இரண்டு கைகளையும் தலைக்குமேல் உயர்த்தி கண்ணாடியை பார்க்கவும்.

குறிப்பு : மார்பக கட்டியினை மக்கள் தாமாகவே கண்டறிந்து மருத்துவரை அணுகுவது புற்றுநோயை ஆரம்ப நிலையில் கண்டறிய உதவும்.

மருத்துவ பரிசோதனை - Medical Examination

மருத்துவரின் (Clinical Examination) பரிசோதனை.

கதிரியக்க பரிசோதனை (Radiological Assessment).

செவியிணரா ஒலி மற்றும் மேம்மோகிராம் எனப்படும் அதி நவீன எக்ஸ்ரே உதவி கொண்டு மார்பக கட்டிகள் பரிசோதிக்கப்படுகிறது.

மார்பக கட்டி அணுக்கள் பரிசோதனை (Fine Needle Aspiration Cytology , Trucut Biopsy )

மார்பக கட்டிகளில் செல்கள் மற்றும் திசுக்கள் ஊசி மூலம் எடுக்கப்பட்டு நோய் குறியியல் மருத்துவரால் பரிசோதிக்கப்படுகிறது.

புற்றுநோய் அணுக்கள்

புற்றுநோய் அல்லத அணுக்கள்

கருப்பை (UTERUS) மற்றும் கருப்பை வாய் (CERVIX) புற்றுநோய்
கருப்பை புற்றுநோய் அறிகுறிகள்

மாதவிடாய் காலம் தவிர இடைப்பட்ட நாட்களில் வெள்ளை அல்லது தூரம் படுதல் (INTER MENSTRUAL BLEEDING).

உடலுறவிற்கு பிறகு தூரம் படுதல் (POST COITAL BLEED).

பெரியவர்களுக்கு மாதவிடாய் காலம் முடிந்து சில மாதங்கள் அல்லது வருடங்கள் கழித்து வெள்ளை/தூரம் படுதல் (POST MENOPAUSAL BLEEDING /WHITE DISCHARGE ).

மாதவிடாய் காலம் நீண்ட நாட்கள் தொடர்ந்து படுதல் (PROLONGED MENSTRUAL BLEEDING ).

குறிப்பு : பெண்களுக்கு மேலே குறிப்பிட்டுள்ள புற்றுநோய் அறிகுறிகள் தெரியும் பட்சத்தில் தாமாக முன்வந்து மருத்துவரை அணுகும் பொழுது புற்றுநோய் ஆரம்பநிலையில் கண்டறியப்பட்டு குணம் பெற வாய்ப்புண்டு.

கருப்பை புற்றுநோய் கண்டறிய முக்கிய இரு பரிசோதனைகள்

1) பேப் ஸ்மியர் என்றால் என்ன?

கருப்பை வாய் பகுதியிலிருந்து செல்கள் சேகரிக்கப்பட்டு பரிசோதனை செய்யப்படுகிறது.

2) கால்போஸ்கோப்பி பரிசோதனை என்றால் என்ன?

கால்போஸ்கோப்பி கேமரா கருவி கொண்டு கருப்பை வாய் பகுதியில் திசு எடுக்கப்பட்டு பரிசோதிக்கப்படுகிறது.

PAP SMEAR

COLPOSCOPY GUIDED TARGERTED BIOPSY

சினைப்பையில் உருவாகும் புற்றுநோய் - CANCER OVARY

பெண்களுக்கு ஏற்படும் மற்ற புற்றுநோய் கட்டிகளை போல இல்லாமல் சினைப்பை புற்றுநோய் கட்டி ஆரம்ப நிலையில் தெரிவதில்லை,சில காலத்திற்கு பிறகு கீழ் வரும் அறிகுறிகள் ஏற்படுகின்றன.

1) கீழ் வயிற்றுவலி/வயிறு வீக்கம்.

2) வழகத்திற்கு மாறான உதிரப்போக்கு.

3) சிறுநீர் கழிப்பதில் சிரமம்.

4) பசியின்மை/சோர்வு.

கண்டறியும் முறைகள்

மருத்துவ பரிசோதனை (ABDOMINAL & PELVIC EXAMINATION )

இரத்த பரிசோதனை (CA 125 ) Tumour Marker

USG , C .T ஸ்கேன் பரிசோதனை

KMC மருத்துவமனையில் செய்யப்பட்ட ஓர் சினைப்பைகட்டி சிகிச்சை அறிக்கை

15 வயது சிறுமிக்கு நீண்ட நாட்கள் அறிகுறிகள் இல்லாமல் பெரிய அளவில் (8kg) வளர்ந்திருந்த சினைப்பைகட்டி அறுவை சிகிச்சை மூலம் அகற்றப்பட்டது.

Dr. சந்திரன் M.B.B.S.,DCH.,FCCP., Dr. சுசிலா சந்திரன் M.B.B.S.,DGO., தலைமை மருத்துவர்கள்

Dr. சரவண ராஜமாணிக்கம் M.B.B.S.,MCH., புற்றுநோய் அறுவைசிகிச்சை நிபுணர்

Dr. பிரவின் சந்திரன் M.S.,FIAGES.,FALS., பொது மற்றும் லேப்ரோஸ்கோபி அறுவை சிகிச்சை நிபுணர்

Dr. பிரியா பிரவின் M.B.B.S.,MD.,M.S(OG)., நோய் குறியியல் மகளிர் மகப்பேறு சிறப்பு மருத்துவர்

"புற்று நோயின் ஆரம்பநிலையை கண்டறிவோம், நலம் பெறுவோம் "
"புற்றுநோய் அறிகுறிகளை அறிவோம் "

65 year old post Menopausal lady with ca Cervix Diagnosed using Pap Smear and Colposcopy was successfully operated in Laparoscopic approach, Radical Hysterectomy done and patient had uneventful recovery.

65 வயது பெண் பெரியவருக்கு கருப்பை வாய் ஆரம்ப நிலை புற்றுநோய் லேப்ரோஸ்கோபி முறையில் 03 - 05 - 2016 அன்று வெற்றிகரமாக செய்யப்பட்டது.

Surgery Team

DR. K சரவண ராஜ மாணிக்கம் Mch.,

DR. K சுசீலா சந்திரன் D.G.O.,

DR. C பிரவின் M.S.,

சில பெருநகரங்களில் மட்டுமே செய்யப்படும் இந்த லேப்ரோஸ்கோபி புற்றுநோய் சிகிச்சை KMC யில் செய்து முடிக்கப்பட்டது

பெருங்குடல் எண்டோஸ்கோபி (colonoscopy) பரிசோதனை என்றால் என்ன?

ஆசனவாய் மலக்குடல், பெருங்குடல் ஆகிய பகுதிகளில் கேமரா பொருந்திய எண்டோஸ்கோபி கருவி உதவி கொண்டு பரிசோதனை செய்தல். Colonoscopy involves examination of Anal Canal, Rectum, Colon usign video Endoscopy.

யார் யாருக்கு இந்த பரிசோதனை தேவை?

மலத்தில் இரத்தம் கலந்து வருதல் (HAEMATOCHEZIA, FAECAL OCCULTBLOOD POSITIVEPATIENTS).

மலம் கழிப்பதில் சிரமம், அடிக்கடி மலம் கழித்தல், அதனுடன் தீராத வயிற்று வலி (HISTORY OF TENESMUS, CHORONIC PAIN ABDOMEN, BLOATING).

எடை குறைவு (HISTORY OF LOSS OF WEIGHT).

இரத்த சோகை (IRON DEFICIENCY ANAEMIA IN ADULTS).

பொதுவாக 50 வயதை கடந்தவர்கள் பெருங்குடல் எண்டோஸ்கோபி பரிசோதனை செய்து கொள்ள அறிவுறுத்தப் படுகிறார்கள் (THE PREFERRED COLORECTAL CANCER PREVENTION TEST IS COLONOSCOPY EVERY 10 YEARS BEGINNING AT AGE 50 YEARS).

மலக்குடல், பெருங்குடல் புற்றுநோய் எவ்வாறு ஏற்படுகிறது?

காரணங்கள் பல இருந்தாலும் நாம் முதலில் பார்க்க வேண்டியது உணவு முறைகளைத்தான், அதில் காரம் மற்றும் கொழுப்பு சத்து மிகுந்த உணவு, நார் சத்து இல்லாத உணவு, வைட்டமின் மற்றும் தாதுபொருட்கள் இல்லாத உணவு வகைகள் இப்படி பல உணவுப் பழக்க முறைகளால் மலக்குடல் மற்றும் பெருங்குடல் புற்று நோய் வர வாய்ப்புகள் உள்ளது.

அறிகுறிகள் பின் வருமாறு :

மலச்சிக்கல், மலம் கழிக்கும்போது இரத்தம் போகுதல், அடிவயிறு வலித்தல் போன்ற அறிகுறிகள் இருந்தால் உடனே மருத்துவரை அணுகி பரிசோதனை செய்துகொள்வது நல்லது.

"மலத்தில் இரத்தம் போவதற்கு மூலம் தான் கரணம் என நினைத்து நிறையபேர் அலட்சியப்படுத்தி விடுகின்றனர்"

அவ்வாறு செய்யும் போது புற்றுநோய்கட்டி வேகமாக வளர்ந்து மற்ற இடங்களுக்கு பரவக்கூடும்

65 வயது பெரியவருக்கு எண்டோஸ்கோபி பரிசோதனையில் புற்றுநோய்கட்டி கண்டுபிடிக்கப்பட்டு அறுவை சிகிச்சை மூலம் அகற்றப்பட்டது.

40 வயது பெண்மணிக்கு நீண்ட நாட்கள் மலத்தில் இரத்தம் கலந்து வந்த நிலையில் எண்டோஸ்கோபி பரிசோதனையில் குடலை தாக்கும் புண்கள் (ULCERATIVE COLITIS) எனப்படும் நோய் உறுதி செய்யப்பட்டு மருத்துவ சிகிச்சை அளிக்கப்பட்டது

எண்டோஸ்கோபி பரிசோதனையில் மூலத்தில் இருந்து மட்டும் தான் இரத்தம் வருகிறது என்பதையும் புற்றுநோய் அல்ல என்பதையும் உறுதிப்படுத்தலாம்.

மலக்குடல் புற்றுநோய் வராமல் தடுக்க சில அறிவுரைகள்

நாம் சாப்பிடும் உணவில் நார்சத்து அதிகம் சேர்த்துக் கொள்ளவேண்டும், பழங்கள்,கீரைவகைகள், காய்கறிகள் இவற்றில் நார்சத்து அதிகம் இருப்பதோடு வைட்டமின் மற்றும் தாது பொருட்களும் நிறைந்திருக்கின்றன. இவற்றை நாம் அன்றாடம் உணவில் சேர்த்துக் கொள்ள வேண்டும். கொழுப்பு சத்து, காரம் குறைவான உணவுகளையே எடுத்துக்கொள்வது நல்லது.

பொதுமக்கள் பயன்பெற புற்றுநோய் அறுவை சிகிச்சை பிரிவு KMC வெளியீடு

Dr. சந்திரன் M.B.B.S.,DCH.,FCCP., Dr. சுசிலா சந்திரன் M.B.B.S.,DGO., தலைமை மருத்துவர்கள்

Dr. சரவண ராஜமாணிக்கம் M.B.B.S.,MCH., புற்றுநோய் அறுவைசிகிச்சை நிபுணர்

Dr. பிரவின் சந்திரன் M.S.,FIAGES.,FALS., பொது மற்றும் லேப்ரோஸ்கோபி அறுவை சிகிச்சை நிபுணர்

Dr. பிரியா பிரவின் M.B.B.S.,MD.,M.S(OG)., நோய் குறியியல் மகளிர் மகப்பேறு சிறப்பு மருத்துவர்